
踵骨骨端炎(しょうこつこったんえん)
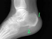
踵骨(しょうこつ)は読んで字の如くかかとの骨です。この踵骨の炎症を起こしやすい場所は2ヶ所あります。 一つはアキレス腱付着部またはかかとの後面、もう一つは足底部です。
1、アキレス腱付着部または踵骨後面の骨端炎 腓腹筋(ふくらはぎ)につながるアキレス腱の付着部に起こる炎症です。写真1の部位に靴が当たったり、またはスイングで足の蹴りが強かったりして負担がかかると炎症を起こします。またgolfのやりすぎによる疲労も原因になります。 またこの部位での炎症は痛風の発作も考慮しなければなりません。痛風による炎症は、炎症症状が強いのが特徴です。痛みが激しく、赤くはれ、熱感を伴います。痛風発作の際でも必ずしも血中尿酸値が高くなっているとは限りません。痛風による踵骨骨端炎でも、機械的な刺激による踵骨骨端炎でも炎症を抑えるための治療を行ないます。痛風の場合はコルヒチンの投与、長期で定期的な管理などが必要となります。
1、アキレス腱付着部または踵骨後面 2、踵骨足底部の骨棘
--------------------------------------------------------------------------------
http://www8.ocn.ne.jp/~matunaga/syoukotukottannenn.htm
|
|